وداعا، تجاويف؟ يساعد هذا الحمض الأميني الطبيعي الأسنان على مقاومة السكر


أظهرت دراسة سريرية جديدة شملت مشاركين من البشر أن الأرجينين، وهو أمينو موجود بشكل طبيعي حامضيمكن أن يغير كيفية تطور البلاك على الأسنان، مما يساعد على تقليل خطر تسوس الأسنان.
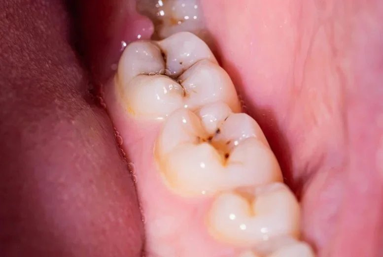
عندما يتم تفكيك السكريات الموجودة في الطعام بواسطة العديد من البكتيريا التي تعيش في الفم، يتم إنتاج الأحماض التي تدمر مينا الأسنان تدريجيًا وتؤدي إلى تجاويف الأسنان، المعروفة أيضًا باسم تسوس الأسنان. هذه الكائنات الحية الدقيقة لا توجد في عزلة ولكنها تشكل مجتمعات منظمة تشبه اللويحات تسمى “الأغشية الحيوية السنية”.
أحد الدفاعات الطبيعية ضد هذه العملية هو الأرجينين، وهو حمض أميني موجود بالفعل في اللعاب. أظهرت الأبحاث أن الأرجينين يمكن أن يساعد في تقليل خطر تسوس الأسنان.
تحتوي بعض البكتيريا المفيدة عن طريق الفم على نظام ديميناز الأرجينين (ADS)، والذي يسمح لها بتحويل الأرجينين إلى مركبات قلوية تتصدى للأحماض الضارة. عندما يتوفر المزيد من الأرجينين، تصبح هذه البكتيريا المفيدة قادرة على النمو، بينما تصبح البكتيريا المنتجة للحمض أقل هيمنة. وقد أظهرت الدراسات المخبرية التي أجريت خارج جسم الإنسان أيضًا أن الأرجينين يمكن أن يغير التركيب العام للأغشية الحيوية للأسنان.
وللتأكد مما إذا كانت هذه التأثيرات تحدث داخل فم الإنسان، قام مجموعة من أطباء الأسنان والباحثين بقيادة Post.doc. يومي سي ديل ري والبروفيسور سيباستيان شلافر في جامعة آرهوس في الدنمارك أجريت تجربة سريرية. ونشرت نتائجهم في المجلة الدولية لعلوم الفم.
اختبار الأرجينين في فم الإنسان
شملت الدراسة 12 مشاركًا لديهم تسوس أسنان نشط. تم تزويد كل مشارك بأطقم أسنان مصممة خصيصًا تسمح للأغشية الحيوية السليمة بالنمو على جانبي الفك، مما يجعل من الممكن مقارنة العلاجات بشكل مباشر.
خلال التجربة، قام المشاركون بغمر أطقم الأسنان في محلول سكر لمدة 5 دقائق. تبع ذلك علاج لمدة 30 دقيقة إما بالماء المقطر (كدواء وهمي) أو بالأرجينين، ويتم تطبيقه على الجانبين المتقابلين من طقم الأسنان. تم تكرار هذا الروتين ثلاث مرات يوميًا، مع تطبيق الأرجينين باستمرار على نفس الجانب.
يوضح سيباستيان شلافر، الأستاذ في قسم طب الأسنان وصحة الفم: “كان الهدف هو دراسة تأثير علاج الأرجينين على الحموضة ونوع البكتيريا ومصفوفة الكربوهيدرات للأغشية الحيوية لدى المرضى الذين يعانون من تسوس نشط”. بعد 4 أيام، عندما تم تطوير الغشاء الحيوي، تمت إزالة أطقم الأسنان لإجراء تحليل مفصل.
الأرجينين يقلل من تكوين الأحماض
ولتقييم مستويات الحموضة داخل الأغشية الحيوية، استخدم الباحثون صبغة حساسة لدرجة الحموضة تُعرف باسم “C-SNARF-4″، والتي أتاحت قياس درجة الحموضة في نقاط مختلفة داخل بنية الأغشية الحيوية. حافظت الأغشية الحيوية المعرضة للأرجينين على درجة حموضة أعلى بكثير، مما يعني انخفاض الحموضة، بعد 10 و35 دقيقة من التعرض للسكر.
يقول المؤلف الأول يومي سي ديل ري: “كشفت نتائجنا عن اختلافات في حموضة الأغشية الحيوية، حيث كانت تلك المعالجة بالأرجينين أكثر حماية بشكل ملحوظ ضد التحمض الناجم عن استقلاب السكر”.
التغيرات الهيكلية في الكربوهيدرات بيوفيلم
بعد ذلك، تم استخدام البروتينات المرتبطة بالكربوهيدرات والتي تسمى الليكتينات، والموسومة بصبغة الفلورسنت، لصبغ مكونين شائعين من الكربوهيدرات في الأغشية الحيوية: الفوكوز والجلاكتوز. تشكل هذه المكونات نسبة كبيرة من الأغشية الحيوية للأسنان وقد تساهم في تكوين “جيوب حمضية” بداخلها.
مع العلاج بالأرجينين، لوحظ انخفاض عام في كمية الكربوهيدرات القائمة على الفوكوز، مما قد يجعل الغشاء الحيوي أقل ضررًا. بالإضافة إلى ذلك، كان هناك تغيير في بنية الغشاء الحيوي، حيث تتناقص الكربوهيدرات المحتوية على الجلاكتوز في الأسفل وتزداد في الأعلى.
التحولات في الميكروبيوم عن طريق الفم
علاوة على ذلك، لتحديد البكتيريا الموجودة في الأغشية الحيوية، قاموا بتسلسل جميع الجينومات البكتيرية باستخدام تقنية تسمى “التسلسل الجيني 16S rRNA”.
على الرغم من أن الأغشية الحيوية المعالجة بالأرجينين والدواء الوهمي كانت تهيمن عليها في الغالب العقدية و فيلونيلا صِنف، قلل الأرجينين بشكل كبير من مجموعة المكورات العقدية التهاب الفم / الفم من المكورات العقدية، التي تنتج الحمض ولكنها ليست منتجة قوية للقلويات، وزيادة طفيفة في المكورات العقدية مع استقلاب أرجينين كبير، وبالتالي تحسين الرقم الهيدروجيني. بشكل عام، جعل الأرجينين الأغشية الحيوية أقل ضررًا عن طريق تقليل حموضتها، وتغيير بنية الكربوهيدرات، وإعادة تشكيل الميكروبيوم بداخلها.
يمكن مكافحة تسوس الأسنان، المنتشر في جميع الأعمار والمناطق، باستخدام استراتيجيات مثل إضافة الأرجينين في معاجين الأسنان أو غسول الفم للأشخاص الأكثر عرضة لها. الأرجينين هو حمض أميني يتم إنتاجه بشكل طبيعي في الجسم ويوجد في البروتينات الغذائية، وهو غير ضار ويمكن استخدامه حتى عند الأطفال.
المرجع: “يعدل الأرجينين درجة الحموضة، والتركيب الميكروبي، وهندسة المصفوفة للأغشية الحيوية من مرضى التسوس النشط” بقلم يومي سي. ديل ري، بيرنيل د. ريكفولد، ماري بي. لوند، إيرو جي. رايتيو، أندرياس شرام، ريكي إل. ماير وسيباستيان شلافر، 20 نوفمبر 2025، المجلة الدولية لعلوم الفم.
دوى: 10.1038/s41368-025-00404-5
لا تفوت أي اختراق: انضم إلى النشرة الإخبارية SciTechDaily.
تابعونا على جوجل و أخبار جوجل.
تنويه من موقعنا
تم جلب هذا المحتوى بشكل آلي من المصدر:
yalebnan.org
بتاريخ: 2026-01-11 18:49:00.
الآراء والمعلومات الواردة في هذا المقال لا تعبر بالضرورة عن رأي موقعنا والمسؤولية الكاملة تقع على عاتق المصدر الأصلي.
ملاحظة: قد يتم استخدام الترجمة الآلية في بعض الأحيان لتوفير هذا المحتوى.



